Oberwart, 31. 8. 2009
MR Gehirn + KM
MR Gehirn (nativ)
MR HWS + KM
Methode:
Diffusionsgewichtung, i.v. KM, axiale T2w, STIR, coronar T2w, sagittal FLAIR, 
T1w Postkontrastaufnahmen axial und coronar, an der Wirbelsäule sagittal T2w, 
STIR sowie T1w Postkontrastaufnahme
Beschreibung
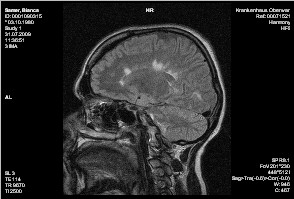
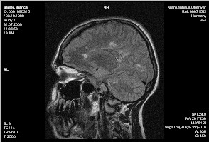
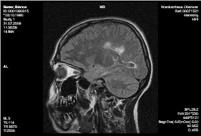
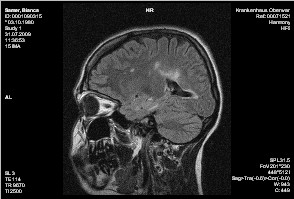
Cerebrum:
Es finden sich multiple, im Balken und periventriculär liegende rund-ovale und fingerförmige T2w hyperintense Glialäsionen, von ihrer Form vereinbar mit Enc. diss. Weiters Glialäsionen um die Hinterhörnder der Seitenventrikel und um das li. Temporalhorn. Die Läsionen zeignen kein Kontrastmittelenhancement.
Keine Ödemzonen. Normal weiter Liquorräume.
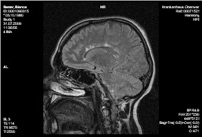
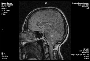
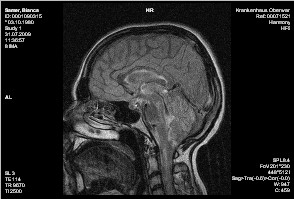
HWS:
Am besten auf der STIR-Sequenz sichtbar finden sich weiträumige T2w Hyperintensitäten im gesamten Myelon, beginnend auf Höhe von C1. Ein Kontrastmittelenhancement ist hierbei nicht erkennbar. Im übrigen geringradige degenerative Wirbelsäulenveränderungen, dargestellt als dorsale Discusvorwölbungen. Hierbei im Segment C3/4 mediolateral bds. am ausgeprägtesten. Insgesamt kein hochgradiger Discusprolaps sowie keine signifikante Wurzelbedrängung.
Ergebnis:
Bekannte Enc. diss.
Im Vergleich mit den mitgebrachten Bildern keine massive Zunahme der 
Glialäsionen, keine kontrastmittelaufnehmenden Bezirke als Aktivitätszeichen.








